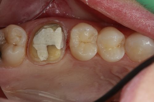
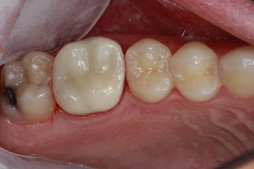
Before & After
Before

After

Before
-p-500.jpg)
Cavities Information from Riverside Dental Center
Stage 1: White spot lesions
The tooth begins to show signs of damage. White spots appear. They are under the surface of the enamel, which are visible. Demineralisation will result in these spots
It this stage, it’s possible to halt a cavity before it needs a filling. Dental hygiene can stop the erosion. Fluoride can remineralize the enamel. This can be reversed with appropriate care.
Stage 2: Enamel Decay
Did you know that tooth decay begins under the surface of the enamel?
The visible enamel is intact for the first part of Stage 2. Then the hole may become visible on the surface
In some cases if it hasn’t reached the dentine and is only in the enamel it can be reversed but otherwise will require a filling. You may not even realise that you have a cavity as usually there is little pain so going to the dentist is imperative in catching these early lesions is they don’t progress.
Stage 3: Decay into the dentine
The decay breaks down the enamel and hits the soft dentin layer that lies below. This cavity must be restored before it causes an infection or severe pain.
Stage 4: Decay into the pulp
This is when decay has reached the nerve. The only treatment options are root canal or extraction. This can produce severe pain, so don’t wait until it causes this problem, see a dental professional every 6 months to prevent this from happening.
Stage 5: Abscess
The decay (and infection) has traveled through the pulp and out the end. In the final stage, it drills through the tip. Now the infection is in the tissue and bone surrounding the tooth root. The area swells up and it’s exceptionally painful.
Cavities pierce the protective enamel and dentin that surrounds your teeth, even going so far as to affect the parts of the tooth that contain important nerve endings.
While it is not entirely known what causes the intense pain that is commonly associated with someone afflicted with a deep cavity, it is believed to be a result of inflammation. This inflammation is the result of imbalanced fluid levels found in the dentin of the tooth, as well as exposure of the affected area to air.
The symptoms of a cavity can vary in severity, with many people experiencing no early signs of a cavity’s presence. Over time though, as the decay increases in the enamel, the most prominent symptoms are sensitivity to both heat and cold.
The diagnosis of a cavity is usually done as part of a routine examination or when a patient schedules an appointment as a result of pain experienced by the cavity. A visual examination is normally accompanied by physical contact with the tooth in question with an instrument known as an explorer. This pointed pick-like object examines the surface of the tooth in search of pits and damaged areas: two signs indicative of a cavity. In special cases, an x-ray is required to provide insight into the damaged areas of a tooth that physical exploration was ineffective in revealing.
Treatment of a cavity consists of filling a tooth so that it will not only prevent future decay, but also provide the tooth’s structure with stabilization.
After
-p-500.jpg)
Porcelain Crown
Before



After

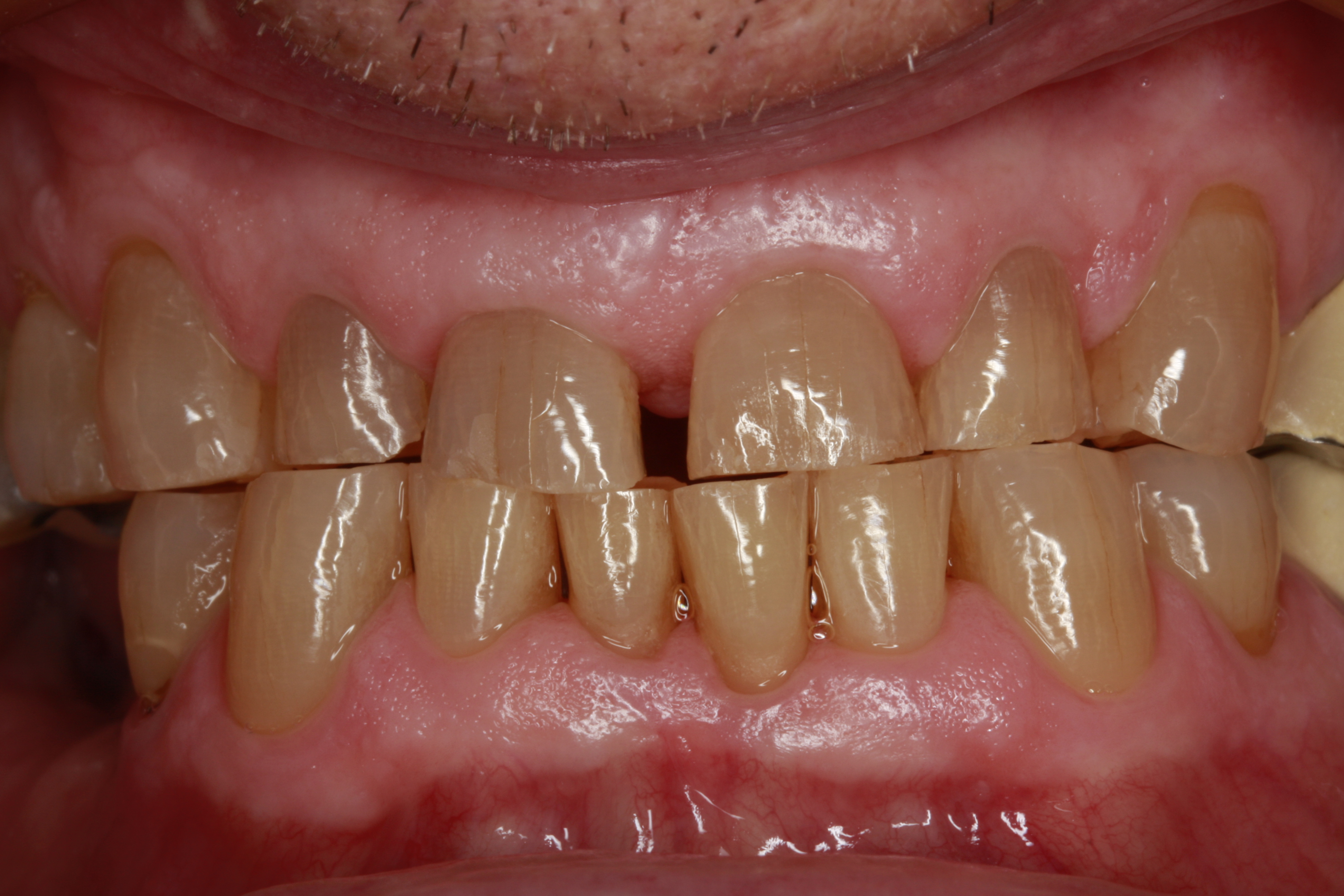
Smile and Occlusion
Before
.jpg)
After
%20(1).jpg)
Before
%20(1).jpg)
After
%20(1).jpg)
Fixing small chips with composite bonding



Fixing Peg Lateral
Before

After

Hopeless decayed teeth and gums fixed with laser and composite
Before

After

Gold restoration




